OmegaAI-Referring Physician Guide
Omega AI Quick Reference Guide for Referring Physicians
Introduction
Welcome to OmegaAI, a powerful and intuitive platform designed for referring physicians to manage patient studies seamlessly. This guide covers account setup, navigating the worklist, searching for studies, using emergency access, and working with imaging tools.
A. Account Setup
I. Sign-Up Process
-
Receive an Invitation: Once an organization grants you access, you will receive an invitation email.
-
Create Your Account: Click the Create Your Account button to open the account creation form on a new tab on the browser.
-
Fill in Details: Enter your name and specify the desired PIN code for your location. (Note: The name will be auto filled, but you can edit it if needed.)
-
Complete Setup: Click Continue to finalize account creation.

II. Troubleshooting: If you haven't received the invitation email, check your spam folder or contact the organization for a re-send.
B. Logging In


-
Enter your registered email and password.
-
When prompted, complete the email verification process by entering the code sent to your email (2-factor authentication).
-
Click Verify to proceed.
(Tip: If you don't receive the verification email, check your spam folder or contact your organization for assistance.)
C. Navigating the OmegaAI Worklist
I. Accessing the Worklist
Once you log in to OmegaAI, you will be directed to the Default Worklist, where you can view assigned patient studies.

For the best experience, we recommend using Google Chrome or Microsoft Edge.
II. Adjusting Display Settings
If the text appears too large or too small, adjust the zoom settings in your browser for better readability.

III. Understanding Worklist Assignments
The studies displayed in your worklist are only those assigned to you as: -
-
Referring Physician
-
Consulting Physician
-
A member of the same referring organization.
IV. Filtering the Worklist
To quickly locate a specific study or patient:
-
Click on the column header corresponding to the data you want to filter. (For example: To search for a specific patient, click on the Patient Name or Modality column header.)
-
Enter Search Criteria. (For example: Type the patient's name in the search field.)

- The worklist will automatically update to display only the records that match or closely resemble the entered name.

V. Viewing More Columns:
Scroll left or right to access additional columns in the worklist.

VI. Clearing Filters:
- Click the (X) button to remove a specific filter.

- Use the Clear All button to reset all filters.
VII. Downloading or Burning Studies
To download or burn a study to a disk:
-
Select the desired study from the worklist.
-
Choose the Download or Burn option as per the need.

VIII. Troubleshooting
Not seeing your patient's study in the worklist?
-
The study may not be assigned to you or your organization.
-
Use the Emergency Access feature to search for the study or patient (refer to the Using Emergency Access section).

For more information on the worklist, including how to create custom worklists, refer to the user guide:
D. Searching for Patient Studies
I. Accessing Global Search
- Click the Global Search Bar at the top of the homepage.

-
Enter the patient's name, study ID, or other identifiers.
-
Matching studies will appear in the search results.

- Double-click on the desired study to open it.
(Need More Results? Click View More to expand the search.)
II. Troubleshooting
If you can't find a patient's study:
- Use the Emergency Access feature.

For more information on Global Search, refer to the user guide:
E. Emergency Access
I. What is Emergency Access?
-
The Emergency Access feature in OmegaAI allows physicians to retrieve patient studies and records in urgent situations quickly.
-
This feature bypasses organizational restrictions, ensuring access to critical information when needed.
(Note: All Emergency Access actions are audited for security and compliance.)
In critical situations, use Emergency Access to bypass organization restrictions.
II. How to Use Emergency Access
- Click on the Search Bar at the top of the screen.

-
Select Emergency Access from the dropdown menu.
-
To access a patient's studies, reports, and images enter First & Last Name (mandatory) and at least one of the following:
-
Date of Birth
-
Phone Number
-
Email Address
-

-
Once all required fields are filled, the _Continue* button will turn blue, allowing you to proceed.
-
After verification, you will be directed to the Patient History Page.

-
Hover over the desired study in the worklist. You will see two options:
-
Final Images & Reports
-
Forms
-


-
You can click on the desired study to open the Omega Dial menu, which provides multiple study management tools.
-
The Omega Dial menu options are as follows:

-
STUDY
-
DOCUMENT VIEWER
-
ORDER
-
IMAGE VIEWER
-
SEND
Note: You can find detailed information on Omega Dial, on the link below: -
Introduction to OmegaAI Worklists | OmegaAI User Guide
III. Troubleshooting
Study Not Found?
-
Double-check the patient details for accuracy.
-
The patient may not exist under the provided information, contact the imaging organization for further assistance.
F. Using the Image & Document Viewer
I. Accessing the Image Viewer

- When you open the Image Viewer in OmegaAI, patient images will be displayed in the center of the screen.

- You can scroll through each series to view all the images contained within.
II. Key Features of the Image Viewer
-
Patient & Study Details
-
Location: Top-left corner of the screen
-
Displays patient and study details for quick reference.
-
Hover over this section to expand and view additional details.
-

-
Study Explorer Panel
-
Location: Side panel (left side of the screen)
-
Shows all series contained in the opened study.
-
Displays prior studies (marked with a green flag) and the current study (marked with a blue flag).
-
Double-click on a series or drag and drop it into the main image viewer.
-


- Image Annotations
- Location: All four corners of the image
- Displays important details, such as image measurements, timestamps,etc.

-
Viewing Reports & Images Simultaneously
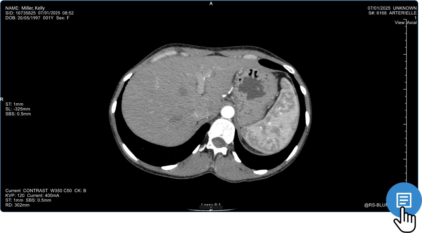
- Click the Document Viewer button (bottom right corner).
- This will open the document viewer alongside the image viewer, allowing you to review both at the same time.


-
Customizing the Viewer Layout
- Click the _Change Layout* Button on the top of the Image Viewer to add multiple image display sections, for image series.
-
Downloading Studies & Images
- Click the three-dot menu on the toolbar located at the top of the image viewer.
- Select the Download option to view the dropdown: Download Image (for individual images) or Download Study (for the entire set).

- Advanced Features
The image viewer offers various features, including tools, hanging protocols, and customization options.
For detailed information, please refer to the user guide: -
G. Using Document Viewer
The Document Viewer in OmegaAI allows referring physicians to view, download, and print patient reports efficiently.
I. How to Access the Document Viewer
-
Open the Document Viewer from either:
-
The Worklist
-
The Study History Page
-

- On the report document at the bottom of the screen locate and hover over the small black bar to reveal Download and Print options.

II. How to Download & Print Reports
-
Click the Download button (follow the steps mentioned above to locate it)
-
The report will be saved as a PDF in your Downloads folder.

- Click the Print button.

- This will open the print dialog in your web browser, allowing you to select printer settings.
III. Troubleshooting
If you are unable to find a report, try the following:
-
Verify the Correct Study: Ensure you have opened the right study for the patient.
-
Check Report Status: If the report is not signed, it may not be available yet.
-
Go to the Worklist and check if the study status is SIGNED.

- Contact the Imaging Center: If the report is still missing, reach out to the imaging center for further assistance.
For more details on document viewer, see the user guide:
H. Downloading & Accessing Studies
Once you download a study in OmegaAI, it will begin streaming in the background. The study will not immediately appear in your Downloads folder until the download is fully completed.
I. How to Track Download Progress
-
Click on the Downloads Button in the right panel to open the download area.
-
Monitor the progress of your study download.
-
Once the download is complete, the study will appear in your Downloads folder (location may vary by browser and OS).
II. Accessing Downloaded Studies on Windows
-
Go to your Downloads folder.
-
Extract the ZIP file before accessing the study.
-
Click on the ZIP file.
-
Press "Extract All" to open the extraction prompt.
-
Choose a destination folder and click "Extract".
-
Open the extracted folder.
Viewing the Study on Windows:
-
Click VIEWER.EXE to launch the Image Viewer.
-
Note: .EXE files work only on Windows OS.
Accessing DICOM Files:
-
Open the numbered folder inside the extracted directory.
-
Each folder contains DICOM images for the exported patient.
III. Accessing Downloaded Studies on MacOS
-
Windows VIEWER.EXE will not work on MacOS.
-
Use a third-party DICOM viewer to open the images.
-
Recommended DICOM viewers for MacOS (RamSoft Inc. has no affiliation with these products.Use at your own risk):
-
OsiriX Lite:
IV. Troubleshooting:
-
The DICOM files may not be recognized by default.
-
Rename the file to add ". dcm" at the end to ensure compatibility with most DICOM viewers.
-
Alternatively, open the file _directly from the DICOM viewing software.*
I. Final Notes
-
Ensure your Worklist is regularly refreshed for the latest updates.
-
Use appropriate access levels to maintain security.
-
Explore additional features in the OmegaAI user guide for advanced functions.
For further assistance, visit help.omegaai.com or contact support.