More Options Toolbar Menu in OmegaAI Image Viewer
Overview
The "More Options" menu (3 dots menu) in the OmegaAI Image Viewer toolbar offers a variety of functionalities that enhance user interaction with medical images.
This menu provides tools for downloading studies, managing view settings, linking series, and more, all aimed at optimizing the viewing and handling of medical imaging data.
Accessing the More Options Menu
To open the menu:
- Open a study in the Image Viewer.

-
Locate the ⋮ (three-dot) icon in the top toolbar.
-
Click the icon to expand the More Options dropdown.

Features of the More Options Toolbar Menu
Select the desired tool or settings from the list.
Burn Study
This feature allows users to burn the current study onto a CD or DVD. Initiates the download of a small executable file to enable image and document burning and displays the Size of the Study that will be burnt on the disc, helping users confirm that the contents will fit on the selected media.
If there are no documents or images in the study, the size will be shown as 0 MB.

Toggles
The Toggles submenu provides quick on/off controls for commonly used display elements within the Image Viewer. These options will help users customize the viewing environment without the need to navigate to the full settings panel.
You can click any toggle to enable or disable it.
- A blue checkmark (✓) indicates that the option is active.

Available Toggle Options
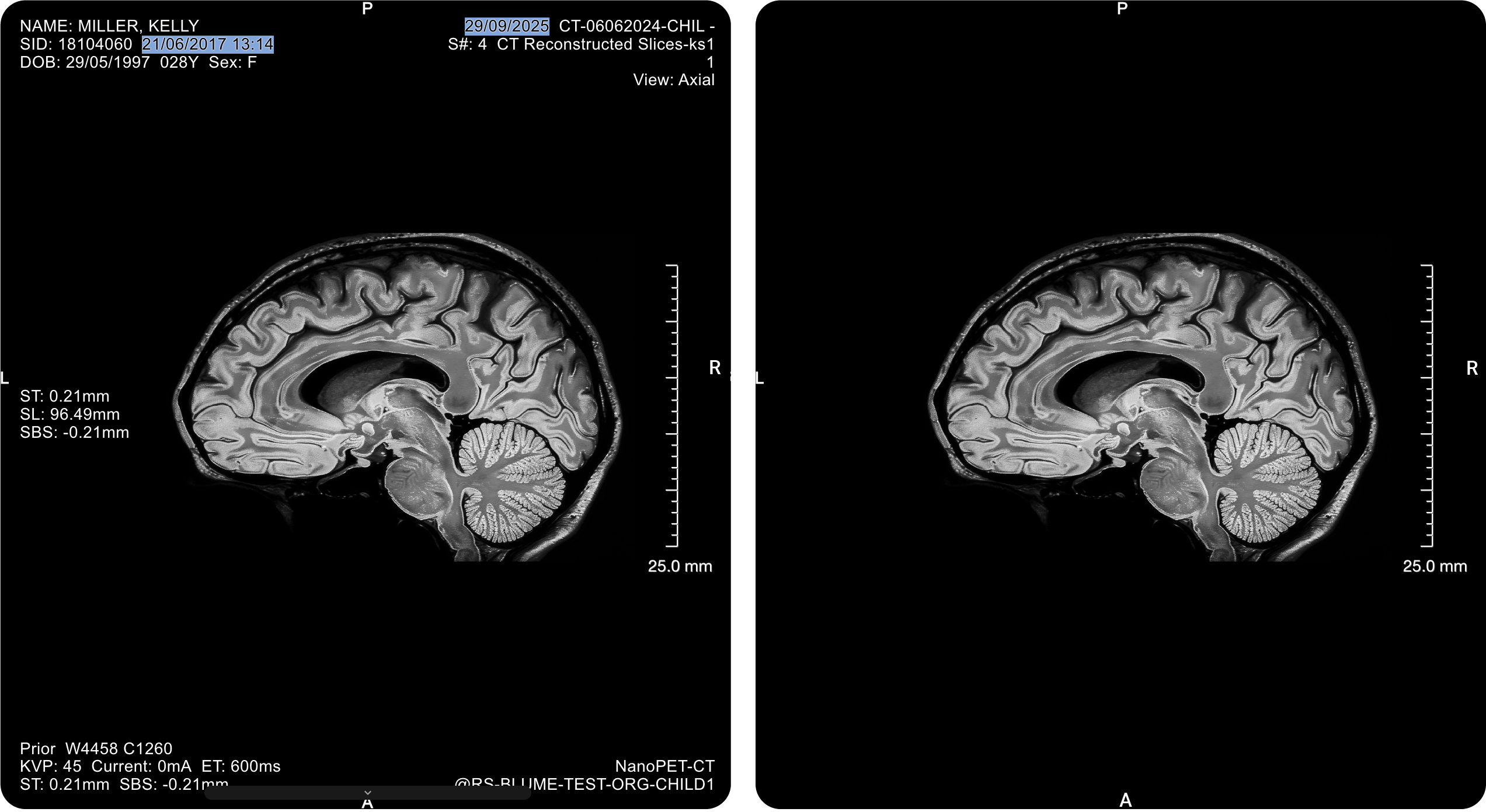
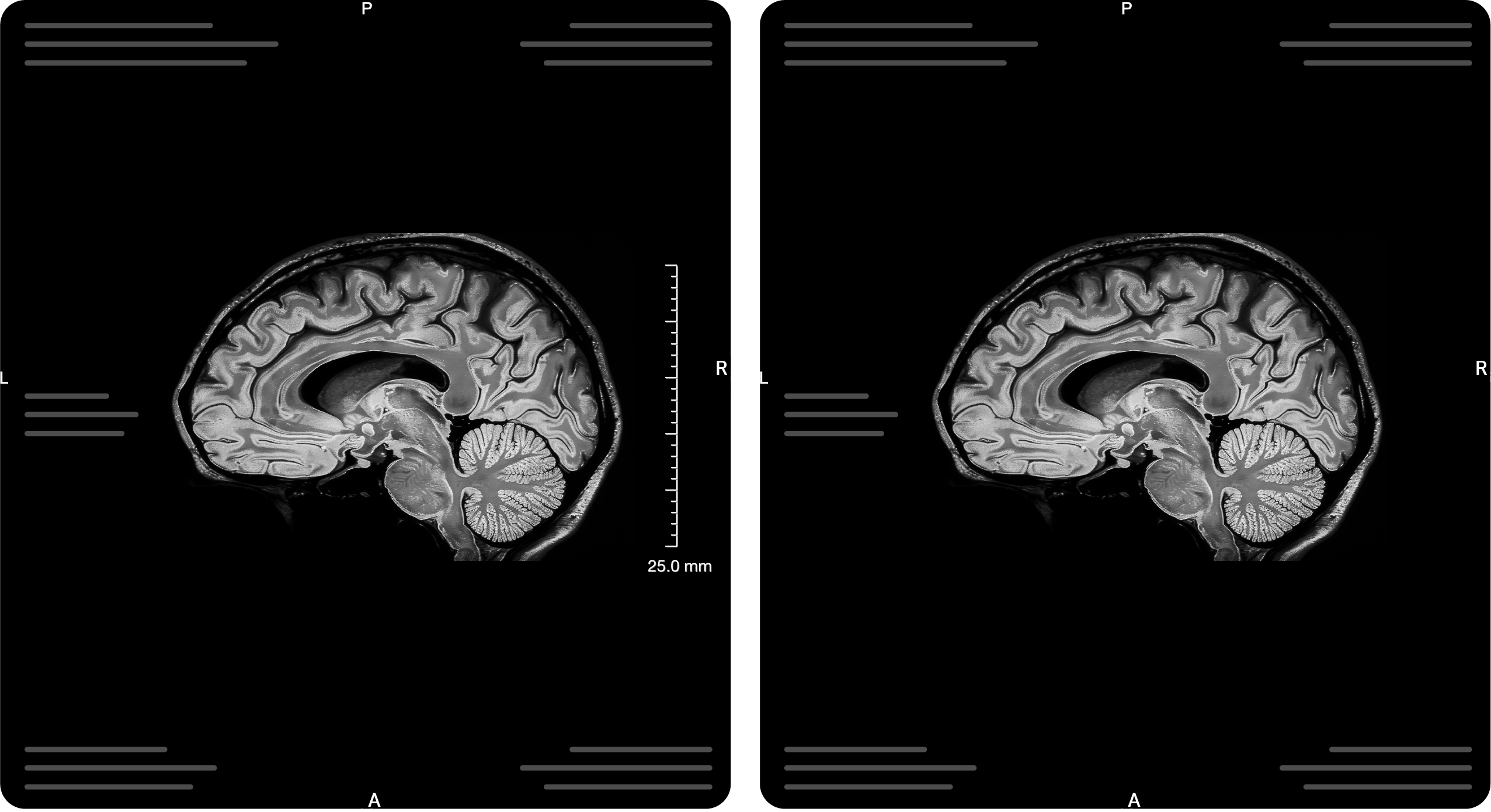
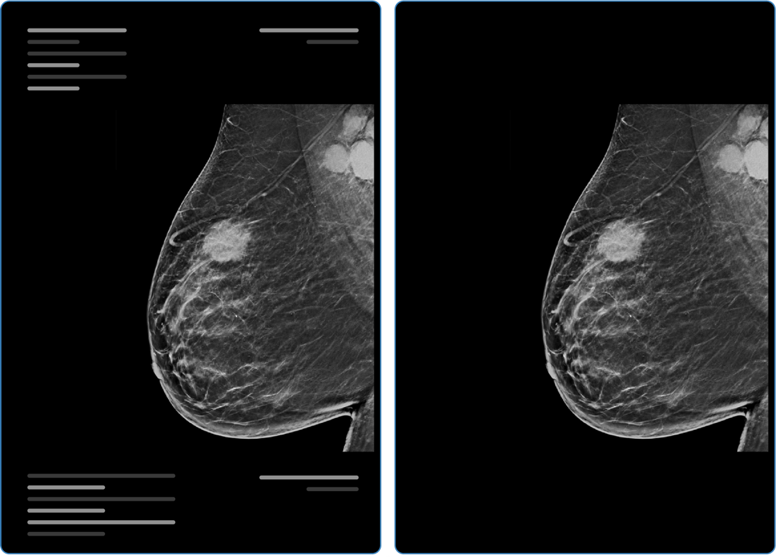
1. Overlay
-
Function: Shows or hides the informational overlay displayed on the images.
-
Includes: Patient details, study metadata, image orientation, slice number, zoom level, and other contextual information.
-
Use Case:
-
Enable overlays for detailed review and orientation guidance.
-
Disable overlays for presentation, screenshots, or an unobstructed viewing experience.
-


2. Scout Lines
-
Function: The Scout Line feature visually links the scout (localizer) image with the corresponding cross-sectional images (CT, PT or MR slices). When enabled, a horizontal or vertical reference line appears on the scout image, indicating the exact anatomical position of the currently displayed slice in the image viewer.
-
Use Case:
-
Quickly understand slice location within patient anatomy
-
Correlate axial/sagittal/coronal images with the scout
-
Navigate large image stacks more confidently
-
Improve anatomical orientation during review
-
The scout line updates dynamically as you scroll through images, providing real-time spatial feedback.


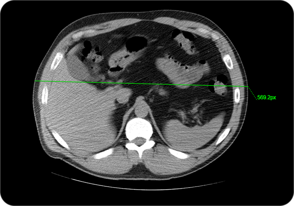
3. Calibration Ruler
-
Function: Displays or hides an on-screen calibration ruler, which represents real-world measurement units (e.g., centimeters or millimeters). The ruler provides a visual reference scale adjacent to the image, allowing users to interpret anatomical size and proportion accurately.
-
Use Cases:
-
Useful for quick visual estimation of anatomical size, depth, or spatial relationships.
-
Recommended for measurement-related workflows, such as lesion assessment, planning, or quality control.
-
May be disabled when generating clean screenshots, exporting images, or preparing teaching materials where the scale is not needed.


Learn more about the Calibration tool
Link Series
Purpose The Link tool allows users to synchronize multiple images or series across viewports. When linking is enabled, interactions such as scrolling, zooming, and positioning are mirrored across the linked viewports.
Useful for Comparing images from different time points, modalities, or anatomical regions---enables efficient side-by-side analysis.
Link Menu Modes
-
Unlink -- Disables synchronization between viewports.
-
Manual Link -- Allows users to manually link selected viewports for synchronized viewing.
-
Plane Link -- Links viewports based on anatomical planes (e.g., axial, sagittal, coronal) for coordinated multi-plane navigation.

Download
The Download tool enables users to export imaging content directly from the Image Viewer for sharing, reporting, or offline reference and audit purposes. Users can either download the complete study in DICOM format, including all series and images, or download a single displayed image along with its annotations from the active viewport.

Mouse Presets
Mouse Presets define how mouse buttons and the scroll wheel behave in the Image Viewer. These presets are modeled after commonly used radiology PACS vendors, allowing users to work with familiar mouse controls for tasks such as window/level adjustment, panning, zooming, measurements, and scrolling through image stacks or series.
Each preset maps specific viewer actions to:
-
Left Click
-
Right Click
-
Middle Click
-
Left + Right Click (Hold & Drag)
-
Scroll Wheel
This approach ensures a smoother transition for users to move between different PACS systems and helps maintain efficiency in daily radiology workflows.
How to Access Mouse Presets
-
Open a study in the Image Viewer.
-
Click the More Options (⋮) menu located in the viewer toolbar.
-
Select Mouse Presets from the dropdown menu.
-
Choose the preset that matches your preferred vendor workflow (e.g., RamSoft/Fuji, GE/eRAD, Visage, Sectra).
-
The selected preset is applied immediately and remains active until changed.

Mouse Preset Options:
| Viewer (Vendor) | Left Click (Default Tool) | Right Click | Middle Click | L+R Hold and Drag | Scroll Wheel |
|---|---|---|---|---|---|
| RamSoft, Fuji | Scroll (or selected tool) | Window/Level | Zoom | Pan | Image scroll, Series scroll |
| GE, eRAD | Pan (or selected tool) | Window/Level | – | Zoom | Image scroll, Series scroll, navigation based on modality settings |
| Visage | Scroll (or selected tool) | Pan | Zoom | Window/Level | Image scroll, Series scroll |
| Sectra | Pan (or selected tool) | Window/Level | Zoom | Scroll | Image scroll, Series scroll |
Settings
The Settings menu provides access to configuration and customization options for the Image Viewer. It allows users to control viewing behavior, personalize tools and overlays, manage calibration and DICOM metadata display, and adjust workflow preferences such as bookmarks, viewport behavior, and tool resets to support efficient and consistent image review.

1. Hanging Protocols
- Purpose: Allows users to customize existing hanging protocols or create new ones.
- Functionality: Users can adjust the layout, sequence, and display preferences based on study details. Customizing hanging protocols enables more efficient review processes tailored to specific modalities or types of studies.
2. Customizing Overlay
- Purpose: Enables customization of overlay information on the image viewports.
- Functionality: Users can choose which patient data, study information, and annotations appear directly on the images. This tool supports selecting data fields such as patient name, study date, and acquisition time, helping radiologists focus on relevant data without excess screen clutter.
3. Customizing Toolbar
- Purpose: Allows modification of the toolbar layout.
- Functionality: Users can add, remove, or rearrange tools to match their workflow, supporting a more streamlined experience. This includes moving tools like zoom, measure, annotate, and adjusting presets to the desired positions.
4. Customizing Wheel
- Purpose: Provides options for modifying the tool wheel.
- Functionality: Users can organize and update tools within the tool wheel for quicker access. This feature enhances navigation by placing the most frequently used tools at the forefront.
5. Calibration Tool
Accessing the Calibration Tool
-
Open the OmegaAI Image Viewer.
-
Select the required viewport.
-
Click the More Options (⋮) menu in the toolbar.
-
From the Settings section, select Calibration Tool.

Using the Calibration Tool:
-
After selecting the Calibration Tool, the cursor changes to a line icon, indicating that calibration mode is active.
-
The user can draw a straight reference line on the image within the active viewport to define the measurement scale.

-
Once the line is drawn, the Calibrate Ruler dialog box appears automatically.
-
In the dialog box:
-
Enter the actual real-world measurement corresponding to the drawn line.
-
Select the appropriate unit from the available options: mm, cm, or inches.

- Click Save to apply and finalize the calibration.
- Once calibration is completed, all subsequent measurements in the viewport will be displayed using the calibrated scale.
6. DICOM Header Tags
- Purpose: Displays the DICOM header information.
- Functionality: This section provides an overview of DICOM header metadata, which is essential for clinical image interpretation and validation.
7. Toggle Auto Open Study Explorer
- Purpose: Controls the automatic opening of the Study Explorer upon launching the Image Viewer.
- Functionality: Users can toggle this feature on or off to automatically view the Study Explorer or start directly in the main viewer. This can improve focus by minimizing navigation steps.
8. Toggle Reset Markup Tools
- Purpose: Manages the automatic reset behavior of markup tools.
- Functionality: When enabled, this setting resets markup tools back to the pointer tool after each use, allowing users to quickly return to a neutral tool without additional clicks.
Learn more about Markup Tools
9. Toggle Autohide Viewport Menu
- Purpose: Controls the visibility of the viewport menu.
- Functionality: Users can toggle this setting to automatically hide or show the viewport menu for a cleaner workspace. When enabled, the menu remains hidden until the user actively interacts with it.
Learn more about Viewport Menu
10. Save Bookmarks Feature
Purpose
The Save Bookmarks feature allows users to control whether the Image Viewer should automatically retain or discard layout and tool changes made during a viewing session. This provides users with the flexibility to maintain their personalized viewing setup or revert to the default layout after closing a study. It helps streamline workflows by avoiding repetitive reconfiguration between studies.
Each user can view and manage only their own saved viewer state.
Functionality
-
When "Save Bookmarks" is enabled, all changes made to the viewer layout and tools are automatically saved and persist in future sessions.
-
When disabled, any changes made during the session are temporary and revert once the session ends, restoring the default bookmark state.
Viewer Configurations Saved with Bookmarks
-
The following viewer settings are preserved when bookmarks are saved:
-
Viewport layout and location
-
Viewing protocol
-
Scout line display
-
Study Explorer orientation and height
-
Maximize/Restore viewport state
-
-
Adjustment Tools: All Adjustment Tool settings (e.g., Zoom, Pan, Rotate, Window Level, Flip, Invert) are saved and applied in future sessions.
-
Markup Tools: All markups and measurements (e.g., lengths, angles, labels, annotations) are saved in the Measurements Panel and remain available in future sessions.
Recommended Usage
-
Enable Save Bookmarks if you frequently customize your viewer layout and want to maintain those settings across sessions.
-
Disable Save Bookmarks if you prefer starting with a default layout each time or are demonstrating temporary configurations.
11. Toggle Hover to Switch Tools
Purpose
- This feature enables quick and seamless switching between Adjustment Tools and Markup Tools in the Image Control Wheel using cursor hover, eliminating the need for additional clicks.
Functionality
-
The Image Control Wheel is divided into two sections:
-
The upper section contains Adjustment Tools such as Window/Level, Zoom, and Rotate.
-
The lower section contains Markup Tools such as Annotations, Measurements, and Drawing tools.
-
-
When this setting is enabled, moving the cursor over a section automatically activates the corresponding tool group. The switch occurs instantly as the cursor moves between sections.
-
When this setting is disabled (default), hovering does not trigger any change. Users must manually click to switch between Adjustment Tools and Markup Tools.

12. About Image Viewer
- Purpose: Accesses general information about the Image Viewer.
- Functionality: Opens the "About" section, where users can view software version details, user guides, and other application-related information.
Display & Viewing Options

- Popout in Window
Allows you to open the current image in a separate window.
- Fullscreen Mode (Toggle Button)
The Fullscreen Mode allows you to view the active image in full-screen display for an enhanced, distraction-free viewing experience.
Click the toggle button to enter full-screen mode. Click the toggle again to exit full-screen mode and return to the standard viewer layout.
Learn more about Configuring Monitor Settings• Disable Save Bookmarks if you prefer starting with a default layout each time or are demonstrating temporary configurations.