Multi-Planar Reconstruction (MPR) Mode
Overview
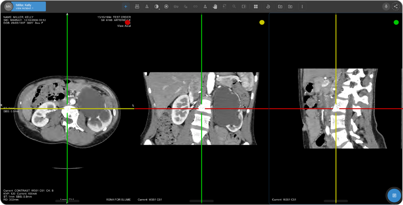
OmegaAI includes a feature known as Multi-Planar Reconstruction (MPR) M ode, essential for viewing complex imaging data in three orthogonal planes: axial, sagittal, and coronal.
Activate MPR Mode
-
Starting Condition: Ensure you are within a CT-Scan study on OmegaAI. MPR Mode requires a multi-frame series with locational data suitable for reconstruction.
-
Accessing MPR Mode:
-
Navigate to the viewport displaying the relevant series.
-
Open the viewport menu. If the series supports MPR reconstruction, you will find an option to activate MPR Mode.
-
Select the MPR Mode option. If unavailable, the series does not support MPR and will not display the option.

-
Interface and Navigation in MPR Mode
Upon entering MPR Mode, the interface adjusts to display three viewports, each corresponding to one of the orthogonal planes:
-
Axial Viewport: Marked with a red dot at the top right corner.
-
Sagittal Viewport: Marked with a green dot.
-
Coronal Viewport: Marked with a yellow dot.
Each viewport will also display a full-screen crosshair with color-coded lines correlating with the view they represent:
-
Red Line: Axial
-
Green Line: Sagittal
-
Yellow Line: Coronal

Highlighted Viewport Interactions
-
When the user double-clicks on any viewport while in MPR Mode, that viewport expands and renders in Highlighted Mode for focused viewing.
-
Double-clicking again on the same viewport exits the Highlighted Mode and returns to the standard three-view layout.
Tools and Functionalities
-
Enabled Tools: Stack scroll, pan, zoom, rotate, and window level adjustments are active.
-
Disabled Tools: Some tools might be disabled in this mode to ensure stability and performance.
-
Frame Navigation: Use the mouse wheel to scroll between frames. Frame number and total frames are indicated via overlay annotations.
-
Crosshair Interactivity:
-
Square Node (near center): Drag to adjust the thickness of the Maximum Intensity Projection (MIP) slab in that specific plane.
-
Circular Node (further from center): Drag to rotate the axes around the center.
-
Obliquity Lines in MPR Mode
OmegaAI's MPR mode now features two obliquity lines for more precise control and orientation adjustments within PET/CT studies.
Key Functionalities:
- Independent Movement: Clicking on a line’s circle node enables independent rotation, allowing one line to move without affecting the other.
- Synchronous Movement: Clicking outside the circle rotates both lines together, maintaining alignment for broader adjustments.
- View-Specific Control: Adjustments in one viewport (e.g., axial) do not impact the obliquity lines in other views (e.g., sagittal or coronal), preserving view-specific configurations.