Shutter Toolset
Overview
This section guides users in utilizing the Shutter Tool feature in Image Viewer. This toolset aims to enhance the diagnostic process, focus on relevant image areas, and ensure patient privacy.
Shutter Toolset Options
The Shutter Toolset can easily be accessed via the customized tool wheel.

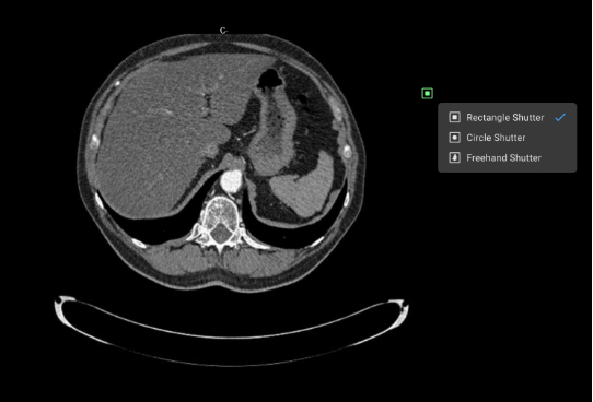
The toolset has three options to select from including:
-
Rectangular Shutter
-
Circle Shutter
-
Freehand Shutter (can use without having to drag your mouse/cursor)

Enhanced Image Visibility
The Shutter Toolset allows clinicians to better visualize specific areas of medical images by darkening peripheral, non-relevant regions. This feature allows for more accurate diagnoses.
Reduction of Visual Distractions
The Shutter Toolset helps minimize unnecessary and distracting elements in medical images, enabling healthcare professionals to concentrate on the critical aspects of the image for diagnosis and treatment planning.
Improved Contrast and Brightness Management
The Shutter Toolset allows for more effective adjustments in contrast and brightness in isolated regions of the image. This enhancement improves the overall readability and clarity of essential areas.
Effective Annotation and Emphasis
The Shutter Toolset provides a tool for radiologists and other medical professionals to emphasize significant findings within an image, such as fractures or tumors. This feature facilitates clearer communication and understanding among medical teams and with patients.
Ensured Patient Privacy
The Shutter Toolset includes a feature to obscure identifiable features of a patientΓÇÖs body that are not relevant to the diagnosis. This feature is particularly important when images are shared or presented in various settings, ensuring patient privacy.
Standardization for Image Comparison
The Shutter Toolset aids in comparing multiple images by allowing the standardization of visible areas. This feature is crucial for monitoring changes over time in serial imaging.
Diagnostic Accuracy Enhancement
The Shutter Toolset improves overall diagnostic accuracy by enabling clinicians to focus on pertinent aspects of medical images. This feature leads to more informed and precise medical decisions.